-
旅行
令和復元工事中の首里城にいってみた!(2024年9月)
沖縄県にある琉球王国のお城「首里城」は、2019年(令和元年)に火災にあい、メインの建物の「正殿」などが消失してしまいました。沖縄にはよく旅行にいっていたので、そのうち首里城にいくつもりでいたのですが、なんだかんだ余裕がなく、行かずじまいに... -
旅行
エスコンフィールド北海道に「野球観戦シロウト」が行ってみた!(2024年4月)
2024年GW前半、4月29日祝日にエスコンフィールド北海道にいってきました。まだ、2023年3月にオープンしてから1年しかたっていない、ま新しい球場です。 この記事は、野球観戦のシロウトの私からみた、楽しみ方やアクセス、混雑状況、当日のタイムスケジ... -
旅行
【旅行記】50代夫婦のゆるゆる車旅:ポイントバケーション富士忍野(2024年3月)
富士忍野エリア(山梨県忍野村)は、高速道路を利用すれば首都圏から近いので、気軽な1泊旅行や、ちょっとしたロングドライブにもおすすめです。行程や予算、ドライブコース、デートコースの参考になれば幸いです。また、会員制コンドミニアムのポイントバ... -
旅行
沖縄旅行で地元感を味わう、スーパーのローカルお惣菜 (2023年5月)
この記事では2023年5月のGW沖縄旅行で出会った沖縄の地元色たっぷりのお惣菜について紹介します。 旅行の楽しみのひとつが地方固有の名物をあじわうことですよね。ホテルでの食事やレストラン、食堂で食べることの他にも名物を楽しめます。 それはスーパー... -
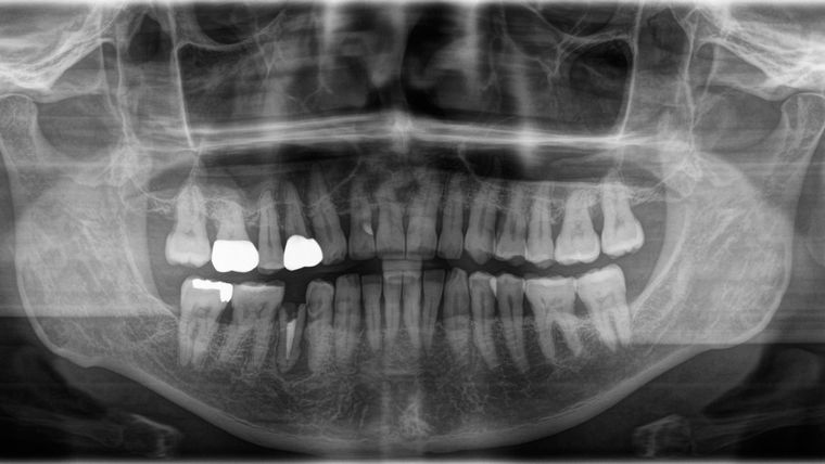
歯
【体験レポート】抜くといわれた歯を残して再植治療(意図的歯牙再植)した体験談(その3)
前回、再植治療をおこなっているクリニックに、はじめて夫婦でいき、夫の割れてしまった歯の状態を検査してもらい、先生に治療方針を説明してもらった話を書きました。 前回の内容はこちら↓ 根管治療 今回は、再植治療にすすむための前段階としての根管治... -
歯
【体験レポート】抜くといわれた歯を残して再植治療(意図的歯牙再植)した体験談(その2:初診)
近所の歯科クリニックで抜くしかないといわれた歯を再植(いちど抜いてまた移植する)治療することにした、うちの夫の体験を書いています。前回の内容は 「【体験レポート】抜くといわれた歯を残して再植治療した体験談(その1) 」こちら↓ 抜歯すること... -
歯
【体験レポート】抜くといわれた歯を残して再植治療した体験談(その1)
うちの夫は、2022年9月、近所の歯科クリニックでもう抜くしかないですといわれた歯を、別のクリニックで「再植」という治療を受け、抜かずにすみました。厳密には一度抜くのですが、その歯をきれいに修復して、またそこに戻すという治療法です。 歯を失っ... -
健康
【体験談】グルタミンは消化器官のエネルギー源! 免疫を高め、お腹の調子を整えるアミノ酸だ
春になりあたたかくなってきたので、趣味の家庭菜園をはじめようと草取りや土作りなどをはじめた矢先、おなかが絶不調になりました。2023年4月のことです。1日に何度もトイレに駆け込むように。おしっこの代わりに下痢というか水のような便がでました。 市...
1